Литиум дисиликатни ламинати

ГИНГИВЕКТОМИЈА И ЛАМИНАТИ

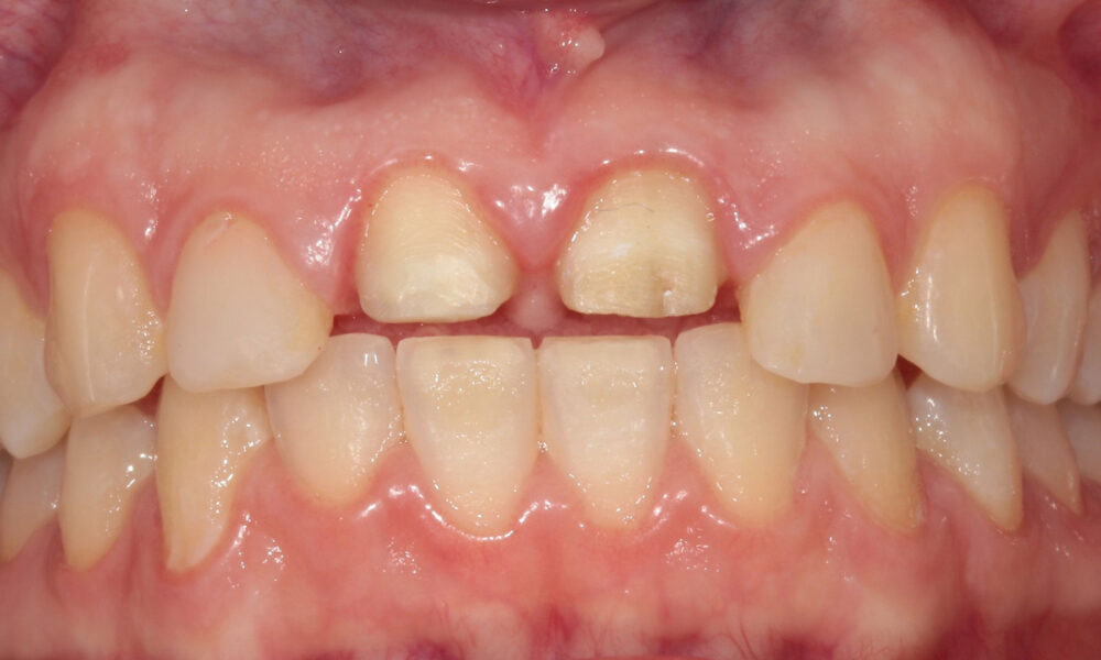
Ламинати

Ламинати се керамички лушпи специјално дизајнирани за предните заби. Овие многу тенки фасети (од 0.3 до 0.5 mm) направени од стакло порцелан се лепат на забот, можат да бидат транспарентни или во боја за да ја маскираат несаканата боја на природниот заб. Литиум дисиликатната керамика има поголема издржливост на џвакопритисок во споредба со фелдшпатната керамика, но и двата материјала покажуваат одлична  биокомпатибилност со околните меки ткива.

Најчести индикации:

• искривени и абрадирани заби
• неестетски пломби
• тетрациклински обоени заби
• дијастеми помеѓу предните заби
• заби со неуедначена големина.
Во споредба со класичните коронки , состружувањето за ламинати е минимално, доволно колку да се залепи фасетата.

Професионално белење

Белеење

Зачувување на беспрекорна бела боја на забите воопшто не е лесно. Кафе, чај, никотин, црвено вино и одредени видови на храна доведуваат до брзо пребојување на забите. Лек за тоа е професионално белеење, направено со модерни хемикалии, кои долготрајно ја одржуваат новата  нијанса.  Забниот плак и каменец мора да се отстранат пред да се почне со третманот.
Додека пастите со ефект на белеење имаат само привремен површински ефект, професионално користените концентрации на хидроген пероксид или карбамид пероксид ја достигнуваат внатрешноста на забот. Тие дејствуваат врз дентинските бои, кои се одговорни за несакана промена на бојата, и во голема мера се неутрализира.

Циркониумски коронки

Циркониумдиоксидот е одличен материјал за безметални реставрации заради неговата биокомпатибилност, јачина и издржливост на долг рок. Транслуценција на циркониумдиоксидот, можноста за ускладување на дентинските и цервикалните бои со опалесцентни емајлови бои се одлучувачки фактори за идеална естетика на овие коронки во било кои услови.

Безметалната керамика денес претставува стандарден материјал за естетски реконструкции врз природни заби и импланти во облик на фасети или ламинати, безметални керамички коронки, керамички мостови, керамички инлеи и онлеи и коронки на импланти.

Металкерамичките коронки и мостови со ограничени естетски карактеристики заради појава на сивиот раб и без живост во боите, како и алергија на метал, сега се минато.

Изработката се прави компјутерски со CAD/ CAM метод, што дава прецизно пасување на коронките и маргинално затворање помало од 50 микрони.

IPS e.max керамика или литиум дисиликатна керамика е другиот избор во реконструкцијата на заби во фронталната регија. Нивните естетски и физички перформанси дозволуваат совршено да се реконструира целиот забен низ како комбинација на фасети, коронки на природни заби и коронки врз импланти.