Стоматолошка протетика

Протетски решенија

Стоматолошка протетика

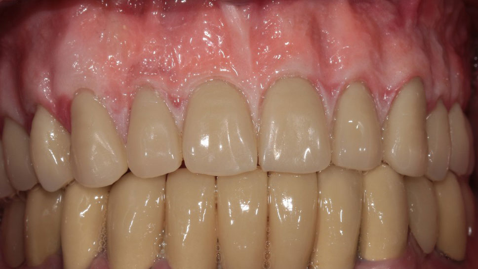
Стоматолошката протетика нуди функционални и естетски решенија за надокнадување на изгубени или оштетени заби. Со примена на современи материјали и индивидуален пристап, се обезбедува природен изглед, стабилност и удобност при секојдневно користење.

Прецизна дијагностика и планирање

При изработка на сложени протетски реставрации користиме артикулатор и facebow, кои овозможуваат прецизна анализа на загризот, функцијата и естетиката. Овој метод ни овозможува индивидуализирано планирање и висока точност при изработка на коронки, мостови и протези, со природен изглед и долготрајна стабилност.